Заболевания носа и переносицы редко встречаются у кошек. При некоторых состояниях поражаются как носовое зеркало и губной желобок, так и покрытая шерстью область переносицы, в то время как другие затрагивают только носовое зеркало. К повреждениям носа могут приводить различные причины: опухоли, паразитарные инвазии, иммуноопосредованные, инфекционные, генетические и идиопатические заболевания, а также состояния, вызванные воздействием факторов окружающей среды. Заболевания, поражающие носовое зеркало, могут также затрагивать кожу как на прилежащих, так и на отдаленных участках тела. Цель данной статьи — кратко рассмотреть патогенез, диагностику, варианты лечения и прогноз заболеваний различной этиологии, с которыми может столкнуться практикующий ветеринарный врач.
Введение
Неопластические и паранеопластические заболевания
Плоскоклеточная карцинома
Плоскоклеточные карциномы (ПКК) встречаются у кошек часто и составляют около 15% всех кожных новообразований (1). Большинство кожных ПКК образуются на морде, особенно на кончиках ушей, переносице, веках и носовом зеркале, покрытых минимальным количеством шерсти (Рисунок 1). Патогенез связан с хроническим воздействием ультрафиолетового излучения, причем у кошек белого и светлого окрасов риск более высокий из-за того, что поверхности кожи достигает большее количество ультрафиолета (2). Сначала поражения напоминают незаживающую царапину или другую травму (3) – актинический кератоз (предраковые поражения от хронического воздействия солнца), затем последовательно развиваются плоскоклеточная карцинома in situ и плоскоклеточная карцинома.
Может наблюдаться сочетание разных поражений, но обычно они представлены воспалением с корками, покрытыми эритематозной, облысевшей и эрозированной кожей (3), от нескольких миллиметров до нескольких сантиметров в диаметре. Пораженные участки могут быть вдавленными, корки — геморрагическими, в более запущенных случаях иногда появляются папиллярные или грибовидные образования.
Гистопатологически хорошо дифференцированная ПКК проявляется трабекулами и островками эпидермальных клеток, погруженными в дерму. Эти поражения содержат на периферии кератиноциты, по структуре соответствующие более глубоким базальным слоям, с постепенной дифференциацией в кератинизированные эпидермальные клетки в центре поражения. Эпидермальные клетки образуют кератиновые «жемчужины», которые можно обнаружить в центре неопластических эпидермальных островков (3).
Плоскоклеточные карциномы морды метастазируют редко (4), и терапия в большинстве случаев направлена на отдельные очаги. Перед началом лечения может быть рекомендовано определить стадию заболевания, сделать анализ крови, аспирацию местных лимфатических узлов и рентгенографию органов грудной клетки. Варианты лечения ПКК на морде включают хирургическое вмешательство, лучевую терапию и внутриочаговую химиотерапию. Для большинства ПКК с поражением морды рекомендуется хирургическое иссечение (4), хотя хирургическое удаление крупной опухоли на носовом зеркале может привести к обезображиванию.
В этих случаях рекомендуется лучевая терапия; она включает использование брахитерапии стронцием-90 для опухолей глубиной 3 мм и менее и телетерапии для более глубоких поражений (5). При небольших поражениях, как правило, исход наиболее благоприятный после полного удаления, а лучевая терапия при небольших поражениях может значительно увеличить интервал без прогрессирования болезни на несколько месяцев или лет (5). Более инвазивные поражения рецидивируют чаще.
Паранеопластические поражения
Паранеопластическая алопеция — редкий синдром, встречающийся преимущественно у кошек. Патогенез его до конца не изучен, но в большинстве случаев алопеция вторична и развивается на фоне злокачественных опухолей поджелудочной железы, кишечника, печени или желчевыводящих путей (6). Общие клинические проявления включают недомогание, снижение массы тела и аппетита у ранее здоровой пожилой кошки. Кожные проявления могут быть очень выраженными. Если даже слегка потянуть за шерсть, она без усилия выдергивается, далее выпадение волос прогрессирует, охватывая конечности и морду. Поверхность кожи гладкая, иногда с коричневыми выделениями вследствие вторичного дерматита, вызванного грибами рода Malassezia (7). Подушечки лап и носовое зеркало блестящие и гладкие, а переносица может быть облысевшей.
Исход обычно неблагоприятный, так как метастазы в лимфатические узлы, печень и легкие обычно появляются раньше, чем алопеция и изменение структуры носового зеркала (6, 7). В большинстве случаев, если вероятность излечения после хирургического вмешательства низкая, рекомендуется паллиативное лечение или эвтаназия.
Гиперчувствительность
Гиперчувствительность к укусам комаров особенно часто встречается у кошек темного окраса, имеющих доступ на улицу, в теплые месяцы в некоторых странах с теплым климатом, например на юге США и в странах Средиземноморья. Кошки, живущие только в помещении, страдают редко. Заболевание считают развивающимся по механизму гиперчувствительности I типа, хотя оно также имеет признаки гиперчувствительности IV типа.
Заболевание часто диагностируют по данным анамнеза и непосредственного осмотра. В более тяжелых случаях, когда нельзя исключить листовидную пузырчатку или герпесвирусный дерматит, проводится биопсия. Рекомендуется цитологическое исследование мазка с поверхности кожи для исключения вторичной бактериальной инфекции (при отсутствии инфицирования часто выявляют преимущественно эозинофилы, а другие типы клеток встречаются реже).
При гистопатологическом исследовании гиперчувствительность к укусам комаров обычно проявляется выраженным эозинофильным воспалением, очаг которого покрыт корками и серозным экссудатом. Заболевание трудно отличить от других эозинофильных поражений кожи у кошек или от герпесвирусного дерматита, если не видны тельца вирусных включений (9).
Лечение направлено на подавление острого воспаления и вторичной инфекции (если она присутствует), а также на уменьшение количества или предотвращение укусов комаров. Для подавления воспаления обычно эффективны стероиды короткого действия в средних и высоких противовоспалительных дозах (1–2 мг/кг в день) внутрь или инъекционно (8). Обычно, если удается избегать дальнейших укусов, достаточно 2–4 недель терапии, но в пик сезона активности комаров, если изменить условия окружающей среды невозможно (например, при содержании кошек в сельской местности), лечение можно быть более длительным.
Наилучшей стратегией является избегание укусов комаров. Для этого можно держать кошку в помещении в часы и сезоны пиковой активности комаров, уничтожать источники стоячей воды, в которой могут находиться личинки комаров, удалять кустарники и высокую траву вблизи источников воды, а также использовать репелленты (8). Если кошку не получается держать в помещении, можно применять репелленты местного действия, но их эффективность нестабильна, поэтому их следует по возможности использовать ежедневно. Можно также применять препараты перметрина (разработанные для кошек), цитронеллу, масло нима или эфирное масло кошачьей мяты, хотя следует учитывать риск их токсичности (8). По небольшому опыту автора, препараты, содержащие пикаридин, при нанесении на спину и кончики ушей кошки могут сохранять эффективность несколько часов.
У кошек, которых можно содержать в помещении, прогноз отличный, но при невозможности контролировать контакты животного с окружающей средой прогноз от удовлетворительного до хорошего.
«
Плоскоклеточные карциномы часто встречаются у кошек, составляя 15% всех опухолей кожи кошек, причем большинство из них возникают на морде, особенно часто поражая кончики ушей, переносицу, веки и кончик носа
Иммуноопосредованные заболевания
Листовидная пузырчатка (ЛП) – наиболее распространенное кожное иммуноопосредованное заболевание у кошек (10), хотя в целом встречается в популяции кошек нечасто. Листовидная пузырчатка поражает десмосомальные соединения между более поверхностно расположенными эпидермальными клетками. Поражение приводит к отделению еще не полностью созревших поверхностных эпидермальных клеток в виде безъядерных кератиноцитов. Большинство случаев заболевания идиопатические, меньшая часть вызвана приемом некоторых лекарств (11). Обычно заболевание встречается у кошек среднего возраста, но может развиться в любом возрасте, в том числе у котят.
Поражения при ЭП чаще всего наблюдаются на вогнутой поверхности ушных раковин, морде, переносице и носовом зеркале (Рисунок 3); изменения носового зеркала наблюдаются у 50% кошек (Рисунок 4) (11, 12). Могут образоваться поражения вокруг сосочков молочной железы, на подушечках лап, когтевом ложе и волосистых участках кожи (11). У некоторых кошек поражения локализуются на морде, у других в процесс вовлекаются только лапы и когтевое ложе, у третьих — несколько участков тела. Первичные поражения состоят из желтых пустул, охватывающих несколько волосяных фолликулов, которые затем трансформируются в кольцевидные желтые корки, под которыми может развиться эрозия. На пораженных носовом зеркале и подушечках лап утрачивается нормальный вид «булыжной мостовой», а из-под когтевых валиков могут вытекать густые желтые, иногда зеленые гнойные выделения. Зуд при ЭП выражен в различной степени; самотравмирование может быть значительным и изменять внешний вид поражений, особенно на морде и ушах, могут развиться лихорадка, недомогание и снижение аппетита.
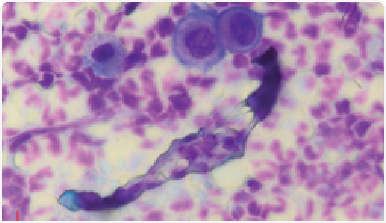
Первичная диагностика должна включать импрессионное цитологическое исследование поражений с разрывом пустулы или снятием корочки. При цитологическом исследовании в основном выявляют недегенеративные нейтрофилы и переменное количество акантолитических кератиноцитов; это округлые ядерные кератиноциты, потерявшие десмосомы и при обычном окрашивании приобретающие синий цвет. Для исключения дерматофитии и эктопаразитозов (например, вызванных Demodex spp. и Notoedres cati) можно провести посевы на дерматофитную тестовую среду (DTM), осмотр под лампой Вуда и соскоб кожи. В клинических анализах крови возможны лейкоцитоз и гиперглобулинемия (13). Для окончательной диагностики рекомендуют провести биопсию, но, поскольку диагностические поражения (например, нейтрофильные пустулы с акантолитическими кератиноцитами) поверхностные, область биопсии не следует обрезать, брить или скрести, так как при этом можно утратить диагностически значимый материал. При гистопатологическом исследовании выявляют нейтрофильные корочки; эпидермальный и поверхностный дермальный инфильтрат, преимущественно нейтрофильный или смешанный, нейтрофильно-эозинофильный (14). Пустулы могут содержать преимущественно нейтрофильный или эозинофильный инфильтрат с акантолитическими кератиноцитами, одиночными или в пучках; также могут быть поражены волосяные фолликулы (Рисунок 5) (14).
Препарат выбора — кортикостероиды, причем у многих кошек эффективна монотерапия. Индукционные дозы преднизолона составляют 2–6 мг/кг в день, при этом большинству пациентов достаточно 2–3 мг/кг в день (12). Предпочтительно давать препарат внутрь; вероятно, инъекции стероидов длительного действия менее эффективны, хотя могут быть полезны при недостаточной эффективности лечения. Ремиссия обычно достигается через 2–8 недель, хотя большинству пациентов требуется пожизненная терапия. После наступления ремиссии дозу стероидов снижают примерно на 25% каждые 2–3 недели до полной отмены; при рецидиве заболевания терапию сохраняют на минимальной эффективной дозе. ЭП у кошек протекает длительно и требует долгосрочной терапии, а поскольку стероиды могут приводить к нежелательным эффектам, таким как увеличение веса, развитие диабета и повышенный риск вирусных инфекций верхних дыхательных путей, следует рассмотреть возможность дополнительного назначения иммуномодуляторов. Для снижения (а в некоторых случаях и для устранения) потребности в кортикостероидах можно назначить модифицированный циклоспорин в жидкой форме или в капсулах, в дозировке 5–7 мг/кг в день. В некоторых случаях частоту приема удается снизить до 2–3 дней в неделю (15). При рефрактерности к модифицированному циклоспорину, значительных побочных эффектах на препарат со стороны желудочно-кишечного тракта или при опасениях относительно долгосрочных побочных явлений стероидов может быть назначен хлорамбуцил (15). Азатиоприн у кошек применять не рекомендуется из-за риска подавления функции костного мозга (15). Исход у большинства кошек при хорошей переносимости пероральных препаратов и отсутствии нежелательных побочных эффектов стероидов благоприятный (11).
Инфекционные заболевания
FHV-1
В редких случаях инфекция вирусом герпеса кошек 1-го типа (FHV–1) проявляется у кошек герпесвирусным дерматитом. Это распространенный патоген, который поражает верхние дыхательные пути и часто вызывает самоограничивающиеся ринотрахеит и конъюнктивит. У большинства кошек респираторные признаки проходят, но латентный вирус сохраняется в тройничном ганглии (16). У кошек с поражениями кожи в анамнезе может присутствовать инфекция верхних дыхательных путей, применение кортикостероидов или предшествовавшая развитию поражений стрессовая ситуация, при этом взрослые кошки болеют чаще, чем котята. Кожные поражения представляют собой везикулы, эрозии и изъязвления на морде, покрытые корками. Могут поражаться переносица, носовое зеркало, морда и окологлазничная область, но в целом изъязвления могут развиваться по всему телу (17).
Заподозрить заболевание можно по данным анамнеза и клинического обследования, особенно при сопутствующих поражениях верхних дыхательных путей. Для окончательного диагноза настоятельно рекомендуется биопсия. В зависимости от уровня образования корочек и выраженности самотравмирования поражения при FHV–1 могут выглядеть как дерматит, вызванный укусами комаров, листовидная пузырчатка, эозинофильная гранулема и многоформная эритема. При гистопатологическом исследовании выявляют некроз эпидермиса, который может распространяться на дерму. Имеются значительный экссудат и корки, причем значительный эозинофильный инфильтрат встречается чаще нейтрофильного (9). Наличие внутриядерных включений в кератиноцитах или гигантских клетках позволяет установить диагноз, но обнаруживается не во всех случаях. Если в образце не обнаружены включения, можно провести ПЦР или иммуногистохимическое исследование пораженной ткани.
Недавнее исследование продемонстрировало надежность использования гибридизации РНК in situ для диагностики FHV–1 на тканях, фиксированных формалином и залитых парафином. Обратите внимание, что выявление вируса методом ПЦР в поражениях органов дыхания или глаз не позволяет подтвердить или исключить поражение кожи вирусом герпеса, хотя помогает диагностировать причину сопутствующего заболевания верхних дыхательных путей.
Выбор терапии зависит от тяжести заболевания; назначают противовирусные препараты внутрь и местно, интерферон омега, имиквимод (16, 19). Если кошка получает кортикостероиды, их следует по возможности отменить.
Споротрихоз
Заболевание вызывает диморфный грибок Sporotrix schenckii.
Этот микроорганизм обитает в органическом материале и почве в окружающей среде, а его конидии попадают в организм при травме с растительной массой или через царапины или укусы животных (в основном кошек). Заболевание эндемично для Центральной и Южной Америки, причем в последние 20 лет вызвало эпидемию в Бразилии (20), и иногда встречается в Северной Америке (20, 21). Важно отметить, что заболевание зоонозное, причем наиболее распространенным путем передачи являются укусы или царапины кошек, нанесенные людям (20).
У кошек чаще встречаются кожная и кожно-лимфатическая форма. Обычно поражаются морда и голова, причем поражения с переносицы распространяются на носовое зеркало (21). Прогрессирование кожно-лимфатической формы в диссеминированную встречается реже.
Ретроспективный анализ 23 случаев показал, что почти все инфицированные кошки имели доступ на улицу, большинство кошек до выявления заболевания были здоровы, хотя у небольшой части на момент установления диагноза были обнаружены сопутствующие заболевания, включая ретровирусную инфекцию (21).
Инфекцию можно диагностировать с помощью тонкоигольной аспирации и цитологического исследования, посева на грибок и гистопатологического исследования (22). Обычно эффективно лечение азольными противогрибковыми препаратами (чаще всего итраконазолом), хотя также используют йодид натрия или калия (22). Терапию обычно продолжают несколько месяцев и не менее 1–2 месяцев после разрешения клинических признаков. Прогноз при кожной и кожно-лимфатической формах хороший, но при системных поражениях может быть менее благоприятным.
Идиопатическое заболевание
Идиопатический назальный дерматит — редкое заболевание неизвестной этиологии и патогенеза, развивающееся на носовом зеркале у бенгальских кошек. Возраст заболевших животных обычно не превышает одного года, а поражение в виде корок, трещин и изъязвлений ограничивается только областью носового зеркала. В одном исследовании при изучении 48 случаев идиопатического назального дерматита других кожных поражений либо других заболеваний у пораженных кошек выявлено не было (23). Заболевание обычно диагностируют на основании анамнеза и непосредственного обследования.
Методов лечения несколько, включая преднизолон внутрь, салициловую кислоту местно и такролимус. Эффективность преднизолона в таблетках и крема с салициловой кислотой различна, в то время как такролимус чаще всего приводит к клинической ремиссии (23), хотя у некоторых кошек состояние улучшается спонтанно. Прогноз хороший или отличный, поскольку большинство кошек отвечают на терапию.
Пигментные нарушения
Простое лентиго
Это редкое заболевание, которое встречается в основном у взрослых кошек рыжего окраса. Оно проявляется в виде черных пятен (бессимптомный макулярный меланоз), чаще всего на губах, хотя также могут поражаться нос, десны и веки (24). Поражения обычно плоские, кольцевидные или яйцевидные, менее 1 см в диаметре (Рисунок 6). Кожа пигментирована глубоко, но неравномерно, и, хотя пигментированные участки могут со временем медленно увеличиваться (Рисунок 7), они не прогрессируют до бляшек или объемных образований (24). Диагноз обычно устанавливают при осмотре, но при подозрении на меланому можно провести биопсию; при гистопатологическом исследовании выявляют выраженный меланоз, особенно в наиболее глубоких слоях эпителия. Поскольку состояние носит косметический характер, лечение не показано.
Витилиго
Витилиго возникает, когда на участке кожи разрушается большинство меланоцитов (клеток, вырабатывающих пигмент); у кошек встречается редко.
Причины многофакторные, включая генетическую предрасположенность, иммуноопосредованное разрушение и окислительное повреждение. Симптомы включают симметричную депигментацию как безволосых (лейкодерма), так и волосистых (лейкотрихия) участков кожи. У кошек потеря пигмента наблюдается вокруг глаз, на носу, по краям губ, на подушечках лап и конечностях. Другие участки тела поражаются реже. На пораженных участках не развиваются воспаление, эрозии или корки (25). Данные литературы ограничены сиамскими кошками, большинство из которых на момент установления диагноза были взрослыми самками молодого или среднего возраста (25). Диагноз можно установить при клиническом осмотре, выявив у молодой взрослой сиамской кошки потерю пигмента без воспаления или образования корочек. У кошек, не соответствующих этому описанию, или для исключения таких заболеваний, как кожная эпителиотропная лимфома, дефицит питательных веществ или ранняя дискоидная красная волчанка, показана биопсия.
Витилиго у кошек считают косметическим заболеванием, но потеря пигмента вокруг век и носа у кошек, в норме имеющих этот пигмент, может предрасполагать к развитию актинического кератоза и, возможно, плоскоклеточной карциномы. Лечение не рекомендуется.
Заключение
Наружные поражения носа у кошек встречаются относительно редко, но врач должен подходить к ним с той же осторожностью и логикой, что и при обследовании при других дерматологических заболеваниях, помня, что эти поражения могут быть частью более системной проблемы. Дифференцировать поражения можно по данным тщательно собранного анамнеза и клинического обследования, цитологического исследования и, возможно, биопсии, но в более сложных случаях или при осложнениях может быть полезно проконсультироваться с ветеринарным дерматологом.
Литература
- Murphy S. Cutaneous squamous cell carcinoma in the cat: current understanding and treatment approaches. J Feline Med Surg 2013;15(5):401-407.
- Dorn CR, Taylor DO, Schneider R. Sunlight exposure and risk of developing cutaneous and oral squamous cell carcinomas in white cats. J Natl Cancer Inst 1971;46:1073-1078.
- Gross TL, Ihrke PJ, Walder EJ, et al. Epidermal tumors. In: Skin diseases of the dog and cat, clinical and histopathologic diagnosis. 2nd ed. Oxford, Blackwell Science Ltd 2005;562-600.
- Hauck ML. Tumors of the skin and subcutaneous tissues. In: Vail DM, Withrow SJ (eds.) Withrow and MacEwen’s Small Animal Clinical Oncology. St Louis, Elsevier Saunders 2013;305-320.
- Hammond GM, Gordon IK, Theon AP, et al. Evaluation of strontium Sr90 for the treatment of superficial squamous cell carcinoma of the nasal planum in cats: 49 cases (1990-2006). J Am Vet Med Assoc 2007;231(5):736-741.
- Miller WH, Griffin CE, Campbell, KL. Miscellaneous Alopecias. In: Small Animal Dermatology 7th Ed. St. Louis, Elsevier Mosby 2013;554- 572.
- Caporali C, Albanese F, Binanti D, et al. Two cases of feline paraneoplastic alopecia associated with a neuroendocrine pancreatic neoplasia and a hepatosplenic plasma cell tumour. Vet Dermatol 2016;27(6):508-e137.
- Nagata M. Mosquito Bites. In: Noli C, Foster A, and Rosenkrantz W (eds.) Veterinary Allergy. 1st ed. Oxford, John Wiley and Sons Ltd 2014;265-270.
- Gross TL, Ihrke PJ, Walder EJ, et al. Ulcerative and crusting diseases of the epidermis. In: Skin diseases of the dog and cat, clinical and histopathologic diagnosis. 2nd ed. Oxford, Blackwell Science Ltd, 2005;116-135.
- Scott DW, Miller WH, Erb HN. Feline dermatology at Cornell University: 1407 cases (1988-2003). J Feline Med Surg 2013; 15(4):307- 316.
- Bizikova P, Burrows A. Feline pemphigus foliaceus: original case series and a comprehensive literature review. BMC Vet Res 2019;15(1):22.
- Simpson DL, Burton GG. Use of prednisolone as monotherapy in the treatment of feline pemphigus foliaceus: a retrospective study of 37 cats. Vet Dermatol 2013;24(6):598-e144.
- Jordan TJM, Affolter VK, Outerbridge CA, et al. Clinicopathological findings and clinical outcomes in 49 cases of feline pemphigus foliaceus examined in Northern California, USA (1987-2017). Vet Dermatol 2019;30(3):209-e65.
- Gross TL, Ihrke PJ, Walder EJ, et al. Pustular diseases of the epidermis. In: Skin diseases of the dog and cat, clinical and histopathologic diagnosis. 2nd ed. Oxford, Blackwell Science Ltd 2005;4-26.
- Irwin KE, Beale KM, Fadok VA. Use of modified ciclosporin in the management of feline pemphigus foliaceus: a retrospective analysis. Vet Dermatol 2012;23(5):403-e76.
- Miller WH, Griffin CE, Campbell, KL. Viral, Rickettsial, and Protozoal Skin Diseases. In: Small Animal Dermatology 7th Ed. St. Louis, Elsevier Mosby 2013;343-362.
- Hargis AM, Ginn PE. Feline herpesvirus 1-associated facial and nasal dermatitis and stomatitis in domestic cats. Vet Clin North Am Small Anim Pract 1999;29(6):1281-1290.
- Mazzei M, Vascellari M, Zanardello C, et al. Quantitative real time polymerase chain reaction (qRT-PCR) and RNAscope in-situ hybridization (RNA-ISH) as effective tools to diagnose feline herpesvirus-1-associated dermatitis. Vet Dermatol 2019;30(6):491-e147.
- Gutzwiller ME, Brachelente C, Taglinger K, et al. Feline herpes dermatitis treated with interferon omega. Vet Dermatol 2007; 18(1):50-54.
- Gremião ID, Miranda LH, Reis EG, et al. Zoonotic epidemic of Sporotrichosis: cat to human transmission. PLOS Pathog 2017;13(1):e1006077.
- Crothers SL, White SD, Ihrke PJ, et al. Sporotrichosis: a retrospective evaluation of 23 cases seen in northern California (1987-2007). Vet Dermatol 2009;20(4):249-259.
- Lloret A, Hartmann K, Pennisi MG, et al. Sporotrichosis in cats: ABCD guidelines on prevention and management. J Feline Med Surg 2013;15(7):619-623.
- Bergvall K. A novel ulcerative nasal dermatitis of Bengal cats. Vet Dermatol 2004;15:28.
- Miller WH, Griffin CE, Campbell, KL. Pigmentary Abnormalities. In: Small Animal Dermatology 7th Ed. St. Louis, Elsevier Mosby, 2013;618-629.
- Tham HL, Linder KE, Olivry T. Autoimmune diseases affecting skin melanocytes in dogs, cats and horses: vitiligo and the uveodermatological syndrome: a comprehensive review. BMC Vet Res 2019;15(1):251.