Синтия Вебстер
DVM, дипл. ACVIM (SAIM), Школа ветеринарной медицины им. Каммингсов, Университет Тафтса, Массачусетс, США
Доктор Вебстер окончила Корнельский университет в 1985 году и после работы в частной клинике поступила в ординатуру Школы ветеринарной медицины им. Каммингсов. В 1993 году она получила диплом ACVIM в области внутренних болезней у мелких животных, а после специализировалась на изучении биологических особенностей транспортных систем гепатоцитов. Преподаватель и руководитель исследований в отделении клинических наук ветеринарной школы Университета Тафтса, автор более 100 публикаций в рецензируемых журналах, а также нескольких глав в книгах. До недавнего времени возглавляла Консенсусную группу ACVIM по диагностике и лечению хронического гепатита у собак.
Хронический гепатит у собак встречается часто, но нередко может оставаться незамеченным, особенно на ранних стадиях. Синтия Вебстер представляет обзор информации по этому заболеванию, уделяя особое внимание возможностям его диагностики и лечения.
Ключевые моменты
- Для диагностики хронического гепатита (ХГ) требуется оценка степени патологических изменений ткани печени при помощи множественной биопсии – исследования биоптатов, полученных из разных долей печени, предпочтительно лапароскопическим методом.
- Во всех полученных при биопсии образцах следует оценивать содержание меди, поскольку избыточное количество меди может быть важной и устранимой причиной ХГ.
- Выраженные воспалительные процессы в печени могут развиваться и у собак, не проявляющих клинических симптомов, в том числе обнаруживаемых методами визуальной диагностики.
- У собак с идиопатическим ХГ, когда после тщательного поиска не удается выявить причину заболевания, пробное лечение иммуносупрессивными препаратами способствует выявлению иммуноопосредованного гепатита.
Введение
Хронический гепатит (ХГ) может наблюдаться у собак любой породы, его развитие может быть бессимптомным. Заболевание прогрессирует до терминальной стадии цирроза, проявляющейся развитием выраженного фиброза и узловой регенерации, и выявляется гистопатологически по ключевым признакам, которые приведены в Блоке 1 (1). Очень важно дифференцировать ХГ от гистологического диагноза неспецифического реактивного гепатита, при котором в портальной, лобулярной (дольковой) и центрилобулярной областях присутствуют воспалительные инфильтраты слабой и умеренной степени выраженности без признаков гибели или дегенерации клеток. Формирование таких инфильтратов связано с выделением воспалительных цитокинов и эндотоксинов из патологических очагов другой локализации (2).
Блок 1.Основные гистопатологические признаки хронического гепатита.
- Лимфоцитарное, плазмоцитарное и/или гранулематозное воспаление от средней до высокой степени выраженности в портальной, лобулярной или центрилобулярной областях
- Межуточный (перипортальный) гепатит (воспаление, разрушающее пограничную пластинку и проникающее в дольку)
- Гибель гепатоцитов (апоптоз или некроз) различной степени выраженности
- +/- Пролиферация желчных протоков
- +/- Фиброз
- +/- Узловая регенерация
Этиология
У большинства собак этиологию ХГ определить не удается – это так называемый идиопатический ХГ (3, 4), но необходимо упомянуть несколько возможных причин этого заболевания.
В ряде исследований у собак с ХГ не удалось выявить наличие гепатотропных вирусов, но в лабораторных популяциях собак были выявлены гистопатологические и/или серологические признаки присутствия бактерий рода Leptospira, а позднее, методами молекулярной диагностики, лептоспиры были обнаружены у собак с гранулематозным гепатитом (5). Является ли причиной развития ХГ микроорганизм или иммунная реакция на микроорганизм, неизвестно. Лейшманиоз приводит к развитию гранулематозного ХГ, в то же время ХГ у собак могут вызывать также другие бактерии (Bartonella), риккетсии (Ehrlichia, Anaplasma) и простейшие (Neospora, Toxoplasma, Sarcocystis). Однако эти инфекции чаще протекают остро и подостро, в рамках системного патологического процесса. Ряд препаратов и пищевых добавок способны приводить к развитию ХГ у собак, поэтому ветеринарным врачам следует стараться собрать максимально полный «лекарственный анамнез» (6). Большинство лекарственных средств потенциально могут вызывать острое повреждение печени, но некоторые, в том числе противосудорожные (фенобарбитал, примидон и фенитоин), оксибендазол, ломустин (CCNU), амиодарон, митотан, НПВП, могут стать причиной развития хронических воспалительных процессов в ткани печени.
Также заболевание может быть вызвано токсическим действием меди. Многие собаки получают с кормом избыточное количество меди (Cu). Поступающая в печень медь должна связываться с Cu-связывающими белками или выводиться с желчью, поскольку свободная медь вызывает окислительный стресс, приводящий к гибели гепатоцитов. Нормальная концентрация меди в ткани печени собак составляет 120-400 мкг/г сухой массы (СМ) (7). Повреждение печени (проявляющееся повышением активности аланинаминотрансферазы (АЛТ) и морфологическими изменениями) начинается при превышении уровня 1000 мкг/г СМ и неизбежно развивается при значениях 1500 мкг/г СМ и выше (7-9). Однако индивидуальная реакция на избыток Cu у собак подвержена значительной фенотипической изменчивости. В некоторых случаях токсичный уровень Cu у собаки не сопровождается признаками повреждения печени, в других – всего лишь небольшое повышение уровня меди вызывает тяжелые повреждения (9-11). Хотя медь может накапливаться у собак любых пород, некоторые породы обладают повышенной предрасположенностью к накоплению меди (Таблица 1) (7). У некоторых пород, например бедлингтон-терьеров, накопление меди обусловлено генетическими нарушениями, влияющими на синтез белков обмена меди. Все больше данных, полученных за последние два десятилетия, свидетельствует о том, что избыток меди в рационе также способствует росту заболеваемости ХГ (Cu-ХГ), связанным с медью (10,11). Около 20 лет назад многие производители кормов для домашних животных вместо оксида меди (с очень низкой биодоступностью) начали добавлять в продукты хелаты меди, обладающие более высокой биодоступностью. В сочетании с тем фактом, что Национальный исследовательский совет США (US NRC) не установил максимально допустимые значения содержания меди в корме, это изменение привело к тому, что некоторые промышленные корма стали содержать избыточное количество меди, обладающей высокой биодоступностью (12,13). В Европе FEDIAF1 установила максимальное значение концентрации меди в кормах для собак, но, по данным исследований, у некоторых собак, особенно предрасположенных к накоплению меди пород, риск такого накопления сохраняется даже при использовании кормов с содержанием меди ниже этого уровня (14,15). В ряде исследований было показано, что в последние 20 лет у собак (как при ХГ, так и без ХГ) фиксируются более высокие концентрации меди в тканях печени, чем в аналогичных популяциях собак до 1998 года (10,11). Для диагностики Cu-ХГ требуется оценить наличие признаков ХГ в биоптате ткани печени в сочетании с накоплением родамин-положительной меди, в основном в центрилобулярных гепатоцитах, и повышением уровня меди в ткани печени (> 400 мкг/г СМ, обычно более 1000 мкг/г СМ). Однако постановка диагноза Cu-ХГ сопряжена с рядом трудностей. К ним относятся: различия концентрации меди в разных долях печени; наличие значительного фиброза, который может снижать содержание меди; отсутствие накопления меди в регенеративных узелках и тот факт, что воспалительные/ фиброзные изменения на поздних стадиях затрудняют оценку распределения меди по долям.
Диагноз «иммуноопосредованный ХГ» часто предполагают в тех случаях, когда не выявлена другая этиология заболевания. Хотя специфические критерии для постановки такого диагноза не разработаны, предположить иммунную причину идиопатического ХГ у собак можно на основании выявления умеренной или выраженной лимфоцитарной инфильтрации при гистопатологическом исследовании и аутоантител в сыворотке, наличия ХГ в семейном анамнезе, других аутоиммунных заболеваний (например, гипотиреоза, атопии, воспалительных заболеваний кишечника (IBD); чаще у сук) в индивидуальном анамнезе и благоприятного ответа на иммуносупрессивную терапию (13).
При клиническом подозрении на иммуноопосредованный ХГ требуется тщательное последовательное исключение других потенциальных причин воспалительного процесса в печени (инфекции, токсины из корма или окружающей среды, лекарственные препараты).
Клинические признаки
Хронический гепатит может развиться у собаки любой породы, в том числе у метиса, но у некоторых пород отмечается предрасположенность к этому заболеванию (Таблица 1) (16). Хронический гепатит чаще всего встречается у собак среднего возраста, хотя зарегистрированы случаи его манифестации как в 5 месяцев, так и в 17 лет. К развитию заболевания предрасположены кобели кокер-спаниеля и суки лабрадора, добермана, далматина, английского спрингер-спаниеля (Рисунок 1).
Клинические признаки заболевания обычно неспецифичны; возможны вялость/депрессия и анорексия. Наиболее ранними симптомами служат полиурия и полидипсия (ПУ/ПД). Более специфичные признаки поражения печени, например желтуха, печеночная энцефалопатия, асцит, развиваются реже и обычно указывают на позднюю стадию заболевания (Рисунок 2).
Благодаря резервной емкости печени ХГ у собак часто протекает субклинически и болезнь выявляют случайно при обычном анализе крови на основании повышения сывороточной активности ферментов печени. На этом этапе очень важно приложить максимум усилий для постановки правильного диагноза, поскольку на поздних стадиях лечение часто оказывается менее успешным.
Клиническая лабораторная диагностика
Лучшим скрининговым тестом на ХГ считают сывороточную активность аланинаминотрансферазы (АЛТ), хотя его чувствительность составляет лишь около 70-80%. Таким образом, даже при нормальном уровне АЛТ возможны выраженные гистологические изменения. Степень повышения активности АЛТ обычно выше, чем щелочной фосфатазы (ЩФ), а повышение активности ЩФ происходит на более поздних стадиях заболевания. На поздней стадии с развитием цирроза сывороточный уровень печеночных ферментов может заметно снижаться, поскольку гепатоциты замещаются фиброзной тканью. Частота выявления других клинических признаков патологии приведена в Таблице 2.
Определение общего содержания желчных кислот в сыворотке крови для скрининга на ХГ не используют. Например, при использовании 20-25 мкмоль/л в качестве отсечки чувствительность пре- и постпрандиального уровня желчных кислот для обнаружения ХГ составляет всего около 50%. Поскольку уровень желчных кислот в крови очень сильно изменяется при шунтировании крови в обход печени, а также при циррозе на фоне портальной гипертензии и множественных приобретенных портосистемных шунтах, то в этих случаях чувствительность исследования возрастает почти до 100%. Однако откладывать биопсию печени до повышения уровня общего содержания желчных кислот нецелесообразно, поскольку к этому моменту в печени уже развиваются значительные и, возможно, необратимые изменения.
Поскольку ХГ клинически часто сопровождается полиурией и полидипсией (ПУ/ПД), в анализе мочи появляется сопутствующая изостенурия.
Хронический гепатит, связанный с медью, часто сопровождается преходящим приобретенным синдромом Фанкони (глюкозурия с нормогликемией) (7).
Методы визуальной диагностики
Рентгенологическое исследование печени у больных собак обычно не показывает изменений, поэтому стандартное обследование всех собак с подозрением на ХГ обязательно включает ультразвуковое исследование.
Краткий обзор описанных в литературе изменений, обнаруживаемых при УЗИ, приводится в Таблице 3. Важно отметить, что в нескольких работах было показано, что критериев, позволяющих предположить наличие ХГ при ультразвуковом исследовании, не существует; при сканировании печень может казаться здоровой даже на фоне выраженного заболевания (17-19).
На поздних стадиях ХГ печень при ультразвуковом исследовании может быть маленькой, с неровными краями (Рисунок 3) и признаками портальной гипертензии, к которым относят асцит, отечность (особенно заметную в области желчного пузыря и поджелудочной железы), снижение скорости портального кровотока (средняя скорость меньше 10 см/с по сравнению с нормальным диапазоном 10,5-25,7 см/с) или гепатофугальное направление кровотока, а также наличие множественных приобретенных портосистемных шунтов, обычно в виде сложного сплетения небольших извилистых сосудов каудальнее левой почки (20).
Проведение биопсии
Для диагностики ХГ требуется образец ткани печени. Тонкоигольная аспирация не подходит для постановки диагноза и часто приводит к неправильной классификации патологического процесса. Чрескожная биопсия под ультразвуковым контролем с использованием крупных (14 или 16G) игл позволяет установить диагноз при получении нескольких образцов (21).
Точность диагностики при биопсии с использованием игл 18G сомнительна по ряду причин: образцы обладают относительно небольшими размерами, при фиброзе они часто фрагментированы, а образцы, взятые не из медиальной или латеральной долей, при патологических изменениях не всегда информативны, так как эти доли менее доступны при биопсии. Проблема заключается в том, что гистологическая тяжесть поражений и степень накопления меди в разных долях печени неоднородны. В целом для точного диагностирования ХГ врач должен оценить состояние 10-12 портальных областей ацинуса, что труднодостижимо без проведения множественной чрескожной биопсии. Однако при множественных биопсиях возрастает риск кровотечения.
Лапароскопия считается предпочтительным методом проведения биопсии печени. Она позволяет полностью оценить состояние печени, системы внепеченочных желчных протоков и окружающих структур, а также получить несколько крупных образцов, в среднем по 16-18 портальных триад на каждый биоптат. Для диагностики ХГ получают пять образцов из по крайней мере двух долей печени: три для гистопатологического обследования и по одному для посева на аэробную/анаэробную флору и количественного анализа содержания тяжелых металлов.
Риски, связанные с биопсией, включают осложнения анестезии (особенно на поздних стадиях заболевания печени), кровотечение, воздушную эмболию (при лапароскопии), инфекцию, пневмоторакс, ваготонический шок. Основной риск связан с кровотечением (22). Оценить риск кровотечения у собак с заболеваниями печени трудно, поскольку они сопровождаются недостаточностью как про-, так и антикоагулянтов, а также регуляторов фибринолиза. ПТВ и АЧТВ увеличиваются примерно у 40% собак. У многих собак также снижается активность фибриногена, антитромбина и протеина С, развиваются легкая анемия и тромбоцитопения. На основании медицинской литературы и ограниченного объема данных у собак разработано руководство по оценке риска кровотечения, приведенное в Блоке 2 (13, 21, 22).
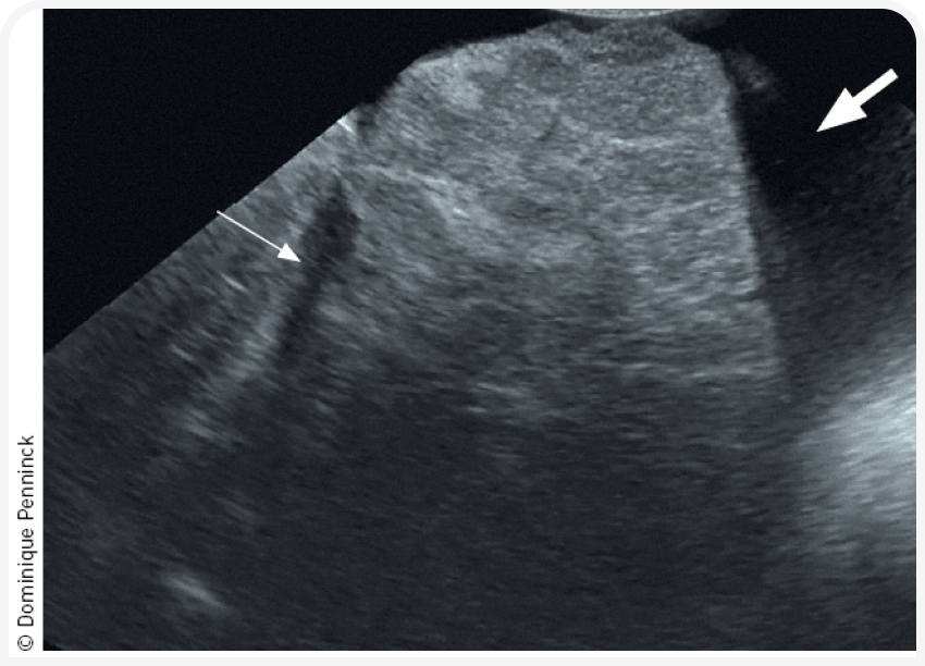
Чрескожная биопсия печени под контролем ультразвукового исследования (Рисунок 4) сопровождается более высоким риском кровотечения, по сравнению с методами, при которых возможен локальный гемостаз (например, лапароскопией), хотя риск развития осложнений (определяемый как необходимость проводить переливание крови или восполнение объема жидкости) для обоих методов представляется низким и составляет около 1-5% (13, 22).
Позволяет ли терапия (например, введение препаратов крови или витамина К) снизить риск кровотечения после получения образцов ткани печени при повышенном риске, неизвестно. Исключением служит низкая активность фактора фон Виллебранда у собак, при которой назначают криопреципитат и десмопрессин. Таким образом, при наличии повышенного риска кровотечения рекомендуется уделять пристальное внимание методике выполнения вмешательства и тщательно контролировать состояние животного в клинике в течение 12 часов после биопсии, а также быть готовыми к неотложному введению препаратов крови в случае необходимости (13).
Оценка данных биопсии
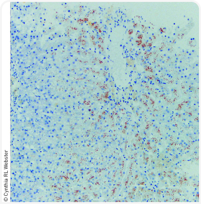
Для оценки биоптата печени требуется окрасить образцы гематоксилин-эозином (H&E), красителями Sirius red или Massons triichrome (для выявления фиброза) и роданином (для выявления меди) (21). Патолог должен описать тип, локализацию и выраженность (количественно) воспаления, фиброза, дегенеративных изменений (липидоз, вакуолярные изменения, липогранулемы), наличие, локализацию и выраженность гибели клеток и реакции протоков, а также распределение и количество окрашенной меди в дольках печени (Рисунок 5). В некоторых случаях, особенно при гнойно-гранулематозном гепатите, показано окрашивание препарата на инфекционные микроорганизмы. Чтобы биопсия была наиболее информативной, врачу-клиницисту и патологу может быть полезно обсудить полученную ими информацию. В сложных случаях биоптат следует обсудить с патологом (и терапевтом), более опытным в гистопатологическом и клиническом исследовании поражений печени.
Лечение
Лечение подбирают согласно этиологии. При подозрении на инфекционную составляющую назначают соответствующую антимикробную терапию, исключив контакт собаки с токсичными веществами или лекарственными препаратами. Если в ткани печени у собаки при ХГ выявлено увеличение содержания меди, во всех случаях требуется соответствующее лечение. Лечение Cu-ХГ обобщенно представлено в Таблице 4 и включает ограничение содержания меди в диете и применение методов хелатирования меди или предотвращения всасывания меди в кишечнике (пеницилламин и препараты цинка) (7). Одновременно показано назначение гепатопротекторов и антиоксидантов (S-аденозилметионин, витамин Е ± урсодезоксихолевая кислота). В некоторых случаях, когда при Cu-ХГ у собаки присутствуют выраженные воспалительные инфильтраты, может быть эффективен короткий курс противовоспалительной терапии кортикостероидами.
При значительном (более 3000 мкг/г сухого вещества) повышении содержания меди в печени у бедлингтон-терьеров, далматинов и молодых собак может потребоваться пожизненное применение лечебной диеты и хелаторов меди. В других случаях удается нормализовать обмен меди терапией пеницилламином и ограничением содержания меди в рационе, но сроки такой нормализации прогнозировать трудно. У лабрадор-ретриверов в исследованиях выявлена связь длительности хелатирующей терапии с исходным уровнем меди: при уровнях 1000, 1500 и 2000 мкг/г сухого вещества она составляла 6, 9 и >12 месяцев (Рисунок 6). Для других пород такие соотношения не изучены. По мнению специалистов, у некоторых собак «детоксикация» от меди проходит более быстро, чем у других, и скорость процесса часто не зависит от концентрации меди (13).
Лучше всего момент прекращения хелатирующей терапии определять путем повторной биопсии с количественным и качественным определением содержания меди. Если это невозможно, следует ориентироваться по косвенному маркеру – уровню АЛТ в сыворотке, хотя важно помнить, что значение АЛТ может оставаться нормальным даже при сохраняющемся воспалительном процессе в тканях печени; поэтому после нормализации уровня АЛТ хелатирующую терапию следует продолжать еще 2-3 месяца. Хотя в ряде научных работ показана эффективность мониторинга содержания меди в ткани печени по данным тонкоигольной биопсии с окрашиванием препарата родамином, данных недостаточно, чтобы рекомендовать такой подход для широкой клинической практики.
В некоторых случаях нормальный баланс Cu у собаки восстанавливается, когда уровни АЛТ и гистологические признаки воспалительного поражения еще сохраняются. У этих собак заболевание либо не было истинным Cu-ХГ, либо повреждение медью вызвало в гепатоцитах обнажение новых эпитопов и спровоцировало развитие самоподдерживающегося иммунного заболевания.
Как правило, все собаки с Cu-ХГ нуждаются в диете с ограничением содержания Cu, но одной диеты для сохранения нормального уровня Cu в ткани печени часто оказывается недостаточно, при этом сложно прогнозировать, каким собакам потребуется дополнительная терапия.
В целом если у собаки наблюдается высокий исходный уровень Cu в печени (>2000 мкг/г), в семейном анамнезе присутствует Cu-ХГ и не удается достичь снижения АЛТ в сыворотке до нормальных значений в течение 6-8 месяцев после начала хелатирующей терапии, собаке назначают соответствующую диету в сочетании с поддерживающей терапией пеницилламином или препаратами цинка.
В небольшом числе исследований было показано, что некоторые случаи идиопатического Cu-ХГ у собак имеют иммунный генез и при соответствующей терапии переходят в ремиссию, хотя проспективных клинических исследований иммуносупрессивной терапии при подозрении на иммунный ХГ не проводилось. При подозрении на гепатит иммунной природы собакам назначают кортикостероиды, азатиоприн, микофенолат, циклоспорин (Таблица 5), хотя ни один из этих препаратов также не изучали в проспективных клинических исследованиях. Нередко при предположительно иммунном характере заболевания собаке также параллельно назначают гепатопротекторы. В этом случае также оптимальной терапевтической конечной точкой для оценки эффективности лечения считают нормализацию гистологических изменений в ткани печени, но поскольку провести такое исследование часто оказывается невозможно, в качестве суррогатного маркера можно использовать активность АЛТ. Сроки ремиссии иммунного ХГ у собак неизвестны. У человека для нормализации уровня ферментов может потребоваться 2-3 года, причем долгосрочный ответ более стабилен, если нормализация активности ферментов сохраняется в течение 3 месяцев. Улучшение гистологической картины развивается позже улучшения клинических и лабораторных данных (у человека – на 3-8 месяцев), поэтому изменять (а особенно – отменять) лечение рекомендуется не ранее чем через несколько месяцев после достижения признаков ремиссии, подтверждаемых лабораторными методами. Постепенную отмену препарата можно начинать после стабилизации лабораторных данных в пределах референтных интервалов в течение 12-18 месяцев. Частота рецидивирования у собак неизвестна, но у человека достигает 50%. Повторная индукция первичной терапии часто позволяет быстро вновь обеспечить контроль активности заболевания.
«
«Улучшение гистологической картины развивается позже улучшения клинических и лабораторных данных, поэтому изменять (а особенно – отменять) лечение рекомендуется не ранее чем через несколько месяцев после достижения лабораторной ремиссии».
Прогноз и осложнения
Течение ХГ у собак обычно прогрессирующее. Выживаемость изучали только в нескольких ретроспективных исследованиях (13), причем при терапии с использованием различных препаратов и диет. Данные по выживаемости собак (n = 364) были получены в 10 исследованиях, в среднем выживаемость составила 561±268 дней. При гистологически подтвержденном циррозе печени выживаемость была значительно меньше,
23±23 дня (n=39). С неблагоприятным прогнозом связаны гипербилирубинемия, увеличение уровней ПТВ и АЧТВ, гипоальбуминемия. Отрицательное прогностическое значение также имеют наличие асцита и степень фиброза по данным биопсии; единственным исключением может быть ХГ у кокер-спаниелей, при котором выживаемость при асците может быть длительной.
Осложнения ХГ у собак включают портальную гипертензию, асцит, печеночную энцефалопатию, язву желудка, коагулопатию (как кровотечение, так и тромбоз) (20,23,24). Кровотечение чаще встречается на терминальной стадии заболевания, а тромбоз – при наличии других протромботических факторов, например системного воспаления, хирургического лечения, терапии кортикостероидами (20). Заболеваемость вторичными бактериальными инфекциями при ХГ у собак изучена слабо, но, по-видимому, она невысока – около 5% (24).
Заключение
Хронический гепатит (ХГ) может наблюдаться у собак любой породы, его течение в начале может быть бессимптомным; выраженные гистологические изменения возможны даже при отсутствии повышения уровня печеночных ферментов в сыворотке. Для установления окончательного диагноза при биопсии необходимо получить несколько образцов, хотя проведение биопсии может быть связано с некоторым риском для пациента. Лечение по возможности должно быть этиотропным, хотя во многих случаях идентифицировать причину заболевания не удается. После разрешения клинических признаков лечение следует продолжать еще несколько месяцев.
Литература
- Van den Ingh TSGAM, Van Winkle TJ, Cullen JM, et al. Morphological classification of parenchymal disorders of the canine and feline liver: Hepatocellular death, hepatitis, and cirrhosis-2 (updated version) In: WSAVA Standards for Clinical and Histological Diagnosis of Canine and Feline Liver Diseases. Society of Comparative Hepatology. Available at; http://www.vetvisuals.com/lms/moodle/mod/book/view.php?id=1001&chapterid=52859
- Twedt DC. Reactive hepatopathies and chronic hepatitis in the dog. Vet Q 1998;2:S46-47.
- Bexfield N. Canine idiopathic chronic hepatitis. Vet Clin North Am Small Anim Pract 2017;47:645-663.
- Poldervaart JH, Favier RP, Penning LC, et al. Primary hepatitis in dogs: a retrospective review (2002-2006). J Vet Intern Med 2009;23:72-80.
- Kearns S. Infectious hepatopathies in dogs and cats. Top Companion Anim Med 2009;24:189-198.
- Bunch SE. Hepatotoxicity associated with pharmacologic agents in dogs and cats. Vet Clin North Am Small Anim Pract 1993;23(3):659-670.
- Dirksen K, Fieten H. Canine copper-associated hepatitis. Vet Clin North Am Small Anim Pract 2017;47:631-644.
- Thornburg LP, Rottinghaus G, McGowan M, et al. Hepatic copper concentrations in purebred and mixed-breed dogs. Vet Pathol 1990;27:81-88.
- Thornburg LP,Rottinghaus G, Dennis G, et al. The relationship between hepatic copper content and morphologic changes in the liver of West Highland White Terriers. Vet Pathol 1996;33:656-661.
- Johnston AN, Center SA, McDonough SP, et al. Hepatic copper concentrations in Labrador Retrievers with and without chronic hepatitis: 72 cases (1980-2010). J Am Vet Med Assoc 2013;242:372-380.
- Strickland JM, Buchweitz JP, Smedley RC, et al. Hepatic copper concentrations in 546 dogs (1982-2015). J Vet Intern Med 2018;32(6):1943-1950.
- Subcommittee on Dog and Cat Nutrition, Committee on Animal Nutrition, National Research Council. Nutrient Requirements of Dogs and Cats. Washington, DC: The National Academy Press; 2006.
- Webster CRL, Center SA, Cullen JM, et al. ACVIM consensus statement on the diagnosis and treatment of chronic hepatitis in dogs. J Vet Intern Med 2019;33(3):1173-1200.
- Fieten H, Hooijer-Nouwens BD, Biourge VC, et al. Association of dietary copper and zinc levels with hepatic copper and zinc concentration in Labrador Retrievers. J Vet Intern Med 2012;26(6):1274-1278.
- http://www.fediaf.org/images/FEDIAF_Nutritional_Guidelines_2019_Update_030519.pdf
- Kemp SD, Panciera DL, Larson MM, et al. A comparison of hepatic sonographic features and histopathologic diagnosis in canine liver disease: 138 cases. J Vet Intern Med 2013;27:806-813.
- Feeney DA, Anderson KL, Ziegler LE, et al. Statistical relevance of ultrasonographic criteria in the assessment of diffuse liver disease in dogs and cats. Am J Vet Res 2008;69:212-221.
- Warren-Smith CM, Andrew S, Mantis P, et al. Lack of associations between ultrasonographic appearance of parenchymal lesions of the canine liver and histological diagnosis. J Small Anim Pract 2012;53:168-173.
- Buob S, Johnston AN, Webster CR. Portal hypertension: pathophysiology, diagnosis, and treatment. J Vet Intern Med 2011;25:169-186.
- Lidbury JA. Getting the most out of liver biopsy. Vet Clin North Am Small Anim Pract 2017;47:569-583.
- Webster CR. Hemostatic disorders associated with hepatobiliary disease. Vet Clin North Am Small Anim Pract 2017;47:601-615.
- Rothuizen J. Important clinical syndromes associated with liver disease. Vet Clin North Am Small Anim Pract 2009;39:419-437.
- Wagner KA, Hartmann FA, Trepanier LA. Bacterial culture results from liver, gallbladder, or bile in 248 dogs and cats evaluated for hepatobiliary disease: 1998-2003. J Vet Intern Med 2007;21:417-424.
- Watson P. Canine breed-specific hepatopathies. Vet Clin North Am Small Anim Pract 2017;47:665-682.