Диагностика заболеваний гепатобилиарной системы может представлять собой сложную задачу. Повышение уровня печеночных ферментов — частая находка, с которой сталкиваются врачи в каждой ветеринарной клинике, и, чтобы поставить точный диагноз и подобрать соответствующее лечение, нужно хорошо понимать, что она означает. Для правильной интерпретации результатов разных методов лабораторной диагностики необходимо знание их преимуществ и недостатков.
Введение
Основные принципы ферментологии печени
Большинство методов, используемых для измерения уровня ферментов, основаны на расчете их активности. Ферментной единицей (Ед) называют количество фермента, катализирующее преобразование одного мкмоль субстрата в минуту (1). Диапазоны нормальных значений для разных лабораторий и методик различны, и при сравнении результатов всегда следует ориентироваться не на абсолютные значения, а на величину изменения показателя. Кроме того, в зависимости от используемого аналитического метода результаты могут изменяться при гемолизе, желтухе или липемии. Величина повышения активности ферментов, как правило, пропорциональна тяжести поражения печени; тем не менее такие анализы не позволяют оценивать функцию печени, не указывают на причину заболевания и не дают возможности составить прогноз заболевания. Так, на поздних стадиях заболеваний печени (в частности, при циррозе печени) увеличение уровня печеночных ферментов может быть незначительным. Кроме того, продолжительность повышения показателя зависит главным образом от среднего периода полужизни (скорости инактивации) фермента, причины и тяжести поражения печени. По этому однократный анализ редко оказывается достаточно информативным для врача, значительно полезнее последовательный мониторинг. Повышение уровня ферментов печени подразделяют на 3 стадии (2):
- Легкое: менее чем 5-кратное относительно верхнего предела нормы
- Средней тяжести: 5–10-кратное относительно верхнего предела нормы
- Тяжелое: более чем 10-кратное относительно верхнего предела нормы
В основном повышение содержания печеночных ферментов в сыворотке вызвано повреждением клеток и индукцией синтеза ферментов. Ферменты в основном локализуются в митохондриях, цитоплазме или клеточной мембране гепатоцитов. Уровень повышения ферментов вследствие повреждения клеток зависит от их концентрации и местонахождения внутри клетки. Например, увеличение количества ферментов, локализованных в митохондриях, предполагает более тяжелое повреждение, чем при увеличении количества ферментов, присутствующих только в цитоплазме. Печеночные ферменты обычно подразделяют на две группы: свидетельствующие о повреждении клеток (аланинаминотрансфераза и аспартатаминотрансфераза) и указывающие на синтез ферментов (щелочная фосфатаза и гамма-глутамилтрансфераза) (3).
Наконец, измерение уровня ферментов печени не позволяет оценить функциональную способность ткани печени. Функцию печени оценивают по параметрам синтеза и/или выделения ряда веществ: билирубина, глюкозы, холестерина, мочевины, альбумина, либо при помощи теста на стимуляцию выделения желчных кислот (Таблица 1).
Аланинаминотрансфераза (АЛТ)
АЛТ, которую ранее называли сывороточной глутаминовой пируват-трансаминазой (СГПТ), в основном локализована в цитоплазме гепатоцитов, преимущественно в зоне 1, то есть в перипортальной области (Блок 1) (2). Она также присутствует в других органах (сердечной мышце, скелетных мышцах, почках и эритроцитах), но в печени уровень АЛТ в 4 раза выше, чем в сердечной мышце, и в 10 раз выше, чем в почках. При повышении уровня АЛТ важно исключить его внепеченочный генез (например, гемолиз или тяжелое повреждение мышечной ткани). Средний период полужизни фермента составляет примерно 2–3 дня. Высвобождение фермента, как правило, сопровождается изменением проницаемости мембраны гепатоцита и чаще всего вызвано токсинами, воспалительными процессами, гипоксией, повреждением тканей или новообразованиями (Таблица 2).
Наибольшее увеличение наблюдается при некрозе и воспалении. Степень повышения уровней фермента коррелирует с масштабом повреждения клеток, но неспецифична для отдельных процессов.
Так, при прогрессирующем циррозе печени или сосудистых заболеваниях уровень ферментов часто оказывается повышен лишь незначительно. Важно помнить, что увеличение уровня АЛТ отмечается не только при первичном поражении печени, но и при множестве других заболеваний, основная причина которых может оказаться слабо связанной с печенью (например, нарушение обмена веществ, системные воспалительные процессы). При остром заболевании снижение уровня АЛТ более чем на 50% в первые дни болезни считается прогностически благоприятным фактором.
Аспартатаминотрансфераза (АСТ)
АСТ, которую ранее называли сывороточной глутаминовой оксалоацетат-трансаминазой (СГОТ), содержится в митохондриях гепатоцитов в более высоких концентрациях, чем АЛТ, преимущественно в зоне 3 печеночного ацинуса (Блок 1) (2). По специфичности АСТ уступает АЛТ и обнаруживается в том числе в мышечных клетках и эритроцитах. Как и для АЛТ, при повышении уровня фермента важно исключить причину, не связанную с печенью (например, гемолиз или повреждение мышц), при этом дифференциальный диагноз аналогичный. Период полужизни АСТ у собак составляет от 5 до 12 часов. В большинстве случаев активность АСТ и АЛТ увеличивается параллельно, но в некоторых случаях уровень АСТ нормализуется раньше, чем АЛТ, в связи с более коротким периодом полужизни и локализацией в митохондриях.
Щелочная фосфатаза (ЩФ)
Белок ЩФ кодируется двумя генами: неспецифическим тканевым геном и кишечным геном. Неспецифический тканевый ген транскрибирует изоферменты, экспрессируемые в печени, почках, плаценте и костях (2); кишечный ген кодирует изоферменты в кишечнике и изоферменты, индуцируемые кортикостероидами. Изоферменты катализируют одну и ту же химическую реакцию, но имеют различную последовательность аминокислот. Период полужизни ЩФ кишечника, почек и плаценты очень короткий (менее 6 минут). Однако в печени, костях и у кортикостероид-индуцированной ЩФ период полужизни составляет почти 60 часов. У животных до года основную часть ЩФ составляет костный изофермент (5). У животных более старшего возраста преобладает печеночный изофермент. Кортикостероид-индуцированная ЩФ составляет 10–30% от общего содержания ЩФ, причем у пожилых собак этот процент выше. В связи с этим специфичность фермента при заболеваниях печени и желчных путей составляет около 51%, а чувствительность — 80% (Таблица 3; Блок 2).
Печеночный изофермент ЩФ локализуется в мембране гепатоцитов желчных канальцев и синусоидных капилляров. Повышение уровней печеночного изофермента ЩФ обусловлено холестазом или индукцией фермента лекарственными препаратами.
При холестазе накапливаются желчные кислоты, что вызывает выработку ЩФ. Также уровень ЩФ повышается под влиянием ряда препаратов, таких как фенобарбитал и кортикостероиды.
Кортикостероид-индуцированная ЩФ вырабатывается в печени. Уровни изофермента, как правило, повышаются при гиперадренокортицизме, но иногда и при других заболеваниях, таких как сахарный диабет, первичные заболевания печени или другие хронические процессы; это ограничивает его использование в диагностике гиперадренокортицизма.
Костный изофермент ЩФ локализуется в мембране остеобластов. Его уровень увеличивается при остеосаркоме, но, как правило, незначительно. У сибирских хаски описана доброкачественная наследственная гиперфосфатаземия (с повышением в основном уровня костного изофермента ЩФ) (5).
Наиболее заметно уровень ЩФ повышается при холестазе (очаговом или диффузном), гепатите или при терапии кортикостероидами. Его значительное увеличение также могут вызывать некоторые опухоли печени, такие как гепатоцеллюлярные карциномы. Отличить печеночный холестаз от постпеченочного по активности ЩФ невозможно (Таблица 3).
Гамма-глутамилтрансфераза (ГГТ)
ГГТ — фермент, содержащийся в эпителиальных клетках желчных путей и в гепатоцитах. Он также содержится в поджелудочной железе, почечных канальцах и эпителиальных клетках молочных желез. Период полужизни у собак составляет 72 часа. Повышенный уровень ГГТ наблюдается при холестазе и гиперплазии желчных путей, а также при терапии кортикостероидами. Фермент считается более специфичным (87%), чем ЩФ, но менее чувствительным (50%) (3).
Обследование при повышении активности печеночных ферментов
Если по данным биохимического исследования возникает подозрение на заболевание печени и желчных путей, я ставлю перед собой следующие задачи:
- установить, имеется ли заболевание печени и желчных путей;
- оценить функцию печени;
- определить, является заболевание первичным или вторичным;
- поставить корректный диагноз;
- наблюдать за реакцией на терапию.
Хотя в принципе это кажется очевидным, но изменение уровня печеночных ферментов представляет проблему для диагностики, так как клинические признаки могут быть очень неспецифичными, а в некоторых случаях отсутствовать. Кроме того, печень играет важную роль в детоксикации как эндогенных, так и экзогенных токсинов, и на ее функционирование может оказывать влияние множество внепеченочных процессов. Печень имеет высокую резервную емкость, поэтому нарушение ее функции проявляется только на поздних стадиях заболевания (Рисунок 1).
На первом этапе требуется проанализировать совокупность клинических проявлений, данных анамнеза и обследования. Крайне важно собрать подробный анамнез, чтобы выявить потенциально токсичные вещества (лекарственные препараты, комнатные растения, корм и т.д.) и определить факторы риска инфекционных заболеваний (например, нарушение графика вакцинации). По анатомо-функциональным причинам и способности метаболизировать чужеродные для организма соединения (ксенобиотики) печень может подвергаться воздействию высоких концентраций веществ, обладающих токсичным эффектом (6). Также хорошо известно, что некоторые породы собак предрасположены к определенным заболеваниям печени.
Гепатотоксичность лекарственных средств можно разделить на две группы: эндогенную и идиосинкразическую. Первая вызывает повреждение печени у любого животного, подвергшегося воздействию определенной дозы препарата; последняя развивается у отдельных животных, она непредсказуема и не зависит от дозы препарата.
-
НПВП способны приводить к развитию идиосинкразических реакций. В большинстве зарегистрированных случаев повреждение печени было вызвано карпрофеном, хотя его могут вызывать любые НПВП. Степень тяжести зависит от индивидуальной чувствительности пациента, наиболее тяжелые случаи обычно развиваются не позднее чем через три недели после начала приема препарата. Клинические проявления могут быть различными, но уровень печеночных ферментов (особенно АЛТ) повышается очень существенно. Хотя у большинства собак после отмены НПВП и проведения поддерживающей терапии состояние восстанавливается, некоторые могут погибнуть вследствие острой печеночной недостаточности.
-
Токсическая доза парацетамола у собак составляет около 150 мг/кг; вызываемое им поражение считают типичным примером эндогенной гепатотоксичности. Метаболиты этого препарата (в основном N-ацетил-p-бензохинонимин, или NAPBQ) участвуют в процессах окисления в эритроцитах и гепатоцитах. Лабораторные данные у большинства пораженных собак включают метгемоглобинемию, выраженное повышение уровня АЛТ и гипербилирубинемию (7). Предпочтительным методом лечения в этих случаях считают внутривенное введение ацетилцистеина, поскольку он снижает токсичность NAPBQ. Также применяют циметидин, витамин С и S-аденозилметионин (SAMe).
-
Гепатотоксичность фенобарбитала может носить как эндогенный, так и идиосинкразический характер. Чаще всего увеличение уровня ЩФ объясняют механизмом индукции, однако это возможно также и вследствие поражения печени (8,9). В основном уровень ЩФ возрастает незначительно и в некоторых случаях сопровождается незначительным повышением уровня АЛТ. Показаниями к отмене фенобарбитала считают повышение уровня АЛТ выше уровня ЩФ и/или признаки нарушения функции печени (гипохолестеринемия, гипербилирубинемия, повышение содержания желчных кислот или гипоальбуминемия). Хотя клинические и гистопатологические изменения могут быть тяжелыми, функция печени в некоторых случаях может восстановиться (10).
-
Азатиоприн – аналог пуриновых оснований, широко используемый для лечения иммуноопосредованных заболеваний. Гепатотоксичность этого препарата (определяется как более чем двукратное повышение активности АЛТ) была описана у 15% получавших препарат собак и, как правило, не сопровождалась клиническими проявлениями (11). Гепатотоксичность обычно возникает в первые две недели терапии, до развития миелотоксичности (которая в среднем развивается за 53 дня), и предполагается, что к ней предрасположены немецкие овчарки. Однако в некоторых случаях уровень ферментов повышается позже. При небольшом повышении уровня АЛТ разумно организовать регулярное наблюдение за пациентом, но при умеренном или значительном повышении рекомендуется уменьшить дозу или прекратить прием препарата.
-
Уровень ЩФ у собак, получающих глюкокортикоиды, может повышаться в разной степени и обычно не сопровождается поражением печени. Однако в некоторых случаях может развиться тяжелая вакуолярная гепатопатия с признаками холестаза и повреждения гепатоцитов. При снижении дозы действие минимизируется, но достижение полной ремиссии может занять месяцы. Нередко терапия глюкокортикоидами в отсутствие заболевания печени сопровождается небольшим повышением уровня желчных кислот. У животных, получающих глюкокортикоиды, применение гепатопротекторов, таких как SAMe, не влияет ни на гистопатологические признаки, ни на изменение уровня ферментов (12).
-
Ломустин (CCNU) – алкилирующий препарат, гепатотоксичность которого была описана у 6% получавших его собак. Было описано накопительное, дозозависимое необратимое токсическое действие препарата, которое развивалось отсроченно в ходе терапии препаратом. Уровень АЛТ повышается от умеренной до тяжелой степени, в среднем в 11 раз выше верхнего предела нормального диапазона. Прогноз серьезный, поскольку развивается печеночная недостаточность, но минимизировать поражение печени можно введением во время лечения ломустином препаратов SAMe и силибинина (13).
Какие еще исследования можно провести
Собакам с повышенным уровнем печеночных ферментов я всегда назначаю развернутый клинический анализ крови (общий анализ крови – ОАК) и стандартный биохимический профиль, а также анализ мочи. Результаты общего анализа крови могут быть весьма различными. Если присутствует анемия, она, как правило, является нерегенеративной, хотя на фоне коагулопатии также может развиться кишечное кровотечение. При портосистемных шунтах часто встречается микроцитоз. При печеночной недостаточности или портосистемных шунтах в осадке мочи часто встречаются кристаллы биурата аммония.
«
«Величина повышения активности ферментов, как правило, пропорциональна тяжести поражения печени; тем не менее такие анализы не позволяют оценивать функцию печени, не указывают на причину заболевания и не дают возможности составить прогноз заболевания».
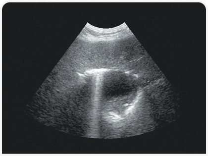
Рентгенография позволяет определить размеры, форму, положение, непрозрачность и края печени, а также обнаружить скопления газа или минерализацию (Рисунок 2). Ультразвуковое исследование помогает определить распространенность поражения печени (очаговое, многоочаговое или диффузное), а также оценить степень васкуляризации и облегчить получение образцов (для цитологического и культурального исследований и биопсии) (Рисунок 3). Однако следует помнить, что отсутствие патологических изменений при ультразвуковом исследовании не всегда свидетельствует о здоровье печени.
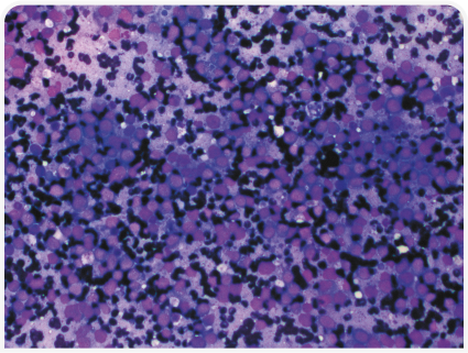
Цитологическое исследование ткани печени особенно важно при наличии многоочаговых или диффузных метаболических или опухолевых поражений (например, при круглоклеточной опухоли, вакуолярных гепатопатиях) (Рисунок 4). Его чувствительность по сравнению с гистопатологическим исследованием низкая; тем не менее этот метод диагностики быстрый, минимально инвазивный и безопасный, поэтому я во многих случаях рекомендую применять его в качестве первого инвазивного исследования ткани печени. Еще один полезный минимально инвазивный метод, редко сопровождающийся осложнениями, – холецистоцентез под контролем ультразвукового исследования (14).
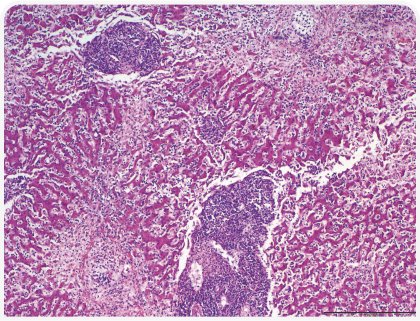
Гистопатологическое исследование необходимо для дифференциации злокачественных и доброкачественных новообразований, выявления сосудистых поражений (гипоплазия воротных вен), цирроза, воспалительных процессов, поражения печени при чрезмерном накоплении меди или других металлов/веществ в ней (Рисунок 5). После анализа на свертываемость крови всегда следует получать несколько образцов ткани из долей печени, причем можно использовать различные методы (Tru-Cut©, лапаротомию или лапароскопию). Крайне важно, чтобы при интерпретации образцов врач следовал Руководству1 Всемирной ассоциации ветеринарии мелких животных (WSAVA) по гистопатологическому исследованию ткани печени.
Гипербилирубинемия
При желтухе у собак крайне важно определить локализацию источника гипербилирубинемии (над-, под- или внутрипеченочная), исследовав образцы крови и проведя ультразвуковое исследование (Рисунок 6). В последних исследованиях было показано, что распространенность бактериального холангита и холецистита у собак, возможно, выше, чем считалось ранее (15). Клинико-патологически они чаще всего проявляются повышением уровня печеночных ферментов, гипербилирубинемией, нейтрофилией. При УЗИ чаще всего выявляют растяжение желчного протока, утолщение стенки желчного пузыря, растяжение желчного пузыря, а также отложения желчи или мукоцеле. Для оценки риска устойчивости к антибиотикам важно получить образцы желчи, а предпочтительным методом лечения обычно оказывается холецистэктомия, также позволяющая провести биопсию/посев желчи. Другие распространенные патологии желчного пузыря и желчных протоков – мукоцеле, желчнокаменная болезнь, новообразования.
Вторичные поражения печени
Возможно, сложнее всего при повышении уровня печеночных ферментов разграничить первичные и вторичные заболевания печени. При вторичных заболеваниях печени изменения показателей, как правило, связаны с неспецифическим реактивным гепатитом. В большинстве случаев содержание ферментов повышается до значений, соответствующих повреждению клеток (АЛТ и АСТ) и индукции ферментов (ЩФ и ГГТ). Однако функция печени изменяется только в редких случаях, за исключением функционального холестаза. При биопсии в портальных зонах выявляют воспалительный инфильтрат, а в паренхиме не обнаруживают признаков некроза ткани печени. Наблюдаются и другие изменения, такие как вакуолярная дегенерация, липидоз или холестаз (который при биопсии выявляют чаще других гистопатологических изменений). Первичные заболевания печени чаще проявляются более серьезно клинически, в том числе гепатомегалией, микрогепатией, желтухой или печеночной энцефалопатией.
«
«Возможно, при повышении уровня печеночных ферментов сложнее всего разграничить первичные и вторичные заболевания печени. При вторичных заболеваниях печени изменения показателей, как правило, связаны с неспецифическим реактивным гепатитом».
Хронический гепатит
Хронический гепатит у собак часто протекает со стертыми клиническими проявлениями, и его выявляют по повышению уровня печеночных ферментов. Гистопатологически он характеризуется апоптозом или некрозом гепатоцитов на фоне воспалительной инфильтрации (смешанной или лимфоплазмоцитарной), нередко прогрессирующей с развитием фиброза и цирроза, проявляющегося печеночной недостаточностью. Этиология разнообразна (болезнь накопления меди, инфекции, лекарства и т. д.), хотя во многих случаях причина остается неизвестной (идиопатический хронический гепатит). У некоторых пород выявлена предрасположенность к развитию хронического гепатита; наиболее хорошо изучена предрасположенность к гепатопатии, ассоциированной с накоплением меди. Важно помнить, что для количественной оценки отложения меди в печени путем биопсии требуется получить крупный (1-2 грамма) образец ткани. Хронический гепатит могут также вызывать различные возбудители, в том числе родов Leptospira, Leishmania, Babesia, Ehrlichia. Гистопатологически лейшманиоз у животных проявляется гранулематозным воспалением или многоочаговым пиогранулематозным воспалением в портальных зонах.
Как обследовать бессимптомного пациента?
Обычно бессимптомное заболевание обнаруживают при повышении уровня печеночных ферментов; в одном из исследований в группе здоровых собак разного возраста выявили значительную частоту повышения уровней АЛТ, АСТ, ЩФ и/или ГГТ (в 17%, 11%, 39% и 19% случаев соответственно) (16). В этой ситуации я обычно вначале подтверждаю результаты исследования (проводя исследования повторно или получив второй образец, стараясь избежать гемолиза или липидемии), чтобы исключить вероятность лабораторной ошибки. Тщательный сбор анамнеза важен, чтобы выявить такие причины, как лекарственные препараты (включая местное лечение или капли), а также выявить признаки заболевания, не распознанные владельцами. Важно учитывать возраст; у молодых животных уровень ЩФ часто несколько повышен физиологически, а у более пожилых увеличение уровня ферментов, как правило, связано с доброкачественными процессами (узловая гиперплазия), новообразованиями, вакуолярными гепатопатиями. Одним из важнейших этапов диагностики становится определение источника фермента, поскольку во многих случаях первичный патологический очаг расположен далеко от печени. Диагностика и купирование первопричины часто приводят к нормализации уровня ферментов; например, в 50% случаев у собак с коллапсом трахеи повышался уровень печеночных ферментов и желчных кислот, возможно, вследствие гипоксии ткани печени. Хотя на фоне лечения нарушений дыхания уровень желчных кислот снижается, уровень печеночных ферментов, как правило, остается высоким (17).
Увеличение уровня ЩФ часто выявляют при ежегодном плановом обследовании или при обследовании перед проведением анестезии. Поскольку причиной повышения уровня ЩФ может быть один из изоферментов, необходимо собрать как можно более подробный анамнез. Из эндокринных заболеваний повышением уровня ЩФ наиболее часто сопровождаются сахарный диабет, гиперадренокортицизм, гипотиреоз. Повышение уровня ЩФ наблюдается в 90% случаев гиперадренокортикоризма и связано с индукцией ферментов и вакуолизацией гепатоцитов гликогеном, вызывающим развитие холестаза. При сахарном диабете наблюдается вакуолизация гепатоцитов, сопровождающаяся липидозом и холестазом. Как отмечено выше, у пожилых собак бессимптомное повышение уровня ЩФ наиболее часто вызвано вакуолярной гепатопатией, узловой гиперплазией или опухолями печени.
Вакуолярная гепатопатия может быть вызвана повышенным уровнем кортикостероидов эндогенного или экзогенного генеза и иногда может сопровождаться тяжелым холестазом и повреждением клеток, приводящим к увеличению уровня АЛТ (18). В 50% описанных случаев точная причина заболевания остается неизвестной, так как не выявляют никаких доказательств болезни надпочечников или экзогенного введения кортикостероидов.
Узловая гиперплазия характеризуется появлением в паренхиме печени множества узелков и у пожилых собак считается доброкачественной. Ее этиология неизвестна, но в классификации заболеваний печени по WSAVA ее относят к новообразованиям. Гиперплазию важно отличать от опухолей и цирроза. Увеличение уровня ЩФ может сопровождаться небольшим повышением АЛТ, но функция печени в этих случаях остается нормальной. Специфического лечения нет, хотя рекомендуется проводить биохимическое обследование и регулярное ультразвуковое исследование каждые 6-12 месяцев.
Заключение
Повышение уровня печеночных ферментов у мелких животных встречается часто и не свидетельствует о нарушении функциональных возможностей печени. Его могут вызывать множество причин, и для постановки верного диагноза и, следовательно, назначения лечения врач должен принимать во внимание данные других диагностических тестов, анамнез и клинические признаки.
Литература
- Stockham SL, Scott MA. Enzymes. In; Fundamentals of Veterinary Clinical Pathology. Iowa; John Wiley & Sons 2008;639-674.
- Center SA. Interpretation of liver enzymes. Vet Clin North Am Small Anim Pract 2007;37(2):297-333.
- Chapman SE, Hostutler RA. A laboratory diagnostic approach to hepatobiliary disease in small animals. Vet Clin North Am Small Anim Pract 2013;43(6):1209-1225. Toulza O, Center SA, Brooks MB, et al. Evaluation of plasma protein C activity for detection of hepatobiliary disease and portosystemic shunting in dogs. J Am Vet Med Assoc 2006;229(
- 11):1761-1771.
- Fernandez NJ, Kidney BA. Alkaline phosphatase: beyond the liver. Vet Clin Pathol 2007;36(3):223-233.
- Weingarten MA, Sande AA. Acute liver failure in dogs and cats. J Vet Emerg Crit Care (San Antonio) 2015;25(4):455-473.
- Stewart JE, Haslam AK, Puig J. Pathology in practice; acetaminophen (paracetamol) toxicosis. J Am Vet Med Assoc 2016;248(9):1009-1011.
- Müller PB, Taboada J, Hosgood G, et al. Effects of long-term phenobarbital treatment on the liver in dogs. J Vet Intern Med 2000;14(2):165-171. Gaskill CL, Miller LM, Mattoon JS, et al. Liver histopathology and liver and serum alanine aminotransferase and alkaline phosphatase activities in epileptic dogs receiving phenobarbital. Vet
- Pathol 2005;42(2):147-160.
- Dayrell-Hart B, Steinberg SA, Van Winkle TJ, et al. Hepatotoxicity of phenobarbital in dogs: 18 cases (1985-1989). J Am Vet Med Assoc 1991;199(8):1060-1066.
- Wallisch K, Trepanier LA. Incidence, timing, and risk factors of azathioprine hepatotoxicosis in dogs. J Vet Intern Med 2015;29(2):513-518.
- Center SA, Warner KL, McCabe J, et al. Evaluation of the influence of S-adenosylmethionine on systemic and hepatic effects of prednisolone in dogs. Am J Vet Res 2005;66(2):330-341. Skorupski KA, Hammond GM, Irish AM, et al. Prospective randomized clinical trial assessing the efficacy of Denamarin for prevention of CCNU-induced hepatopathy in tumor-bearing dogs. J Vet
- Intern Med 2011;25(4):838-845. Policelli Smith R, Gookin JL, Smolski W, et al. Association between gallbladder ultrasound findings and bacterial culture of bile in 70 cats and 202 dogs. J Vet Intern Med 2017;31(
- 5):1451-1458.
- Tamborini A, Jahns H, McAllister H, et al. Bacterial cholangitis, cholecystitis, or both in dogs. J Vet Intern Med 2016;30(4):1046-1055.
- Comazzi S, Pieralisi C, Bertazzolo W. Haematological and biochemical abnormalities in canine blood: frequency and associations in 1022 samples. J Small Anim Pract 2004;45(7):343-349.
- Bauer NB, Schneider MA, Neiger R, et al. Liver disease in dogs with tracheal collapse. J Vet Intern Med 2006;20(4):845-849.
- Sepesy LM, Center SA, Randolph JF, et al. Vacuolar hepatopathy in dogs: 336 cases (1993-2005). J Am Vet Med Assoc 2006;229(2):246-252.